Science

Pioneering Transplant Patient's Passing: Reflecting on Rick Slayman's Legacy
The medical community is grieving the loss of Rick Slayman, a trailblazing patient who recently made headlines as the first recipient of a genetically modified pig kidney.

Elon Musk's Neuralink Secures FDA Approval for Groundbreaking Human Brain Implant Study
Neuralink, led by Elon Musk, has achieved a significant milestone with the clearance from the U.S. Food and Drug Administration (FDA) for its inaugural human clinical trial. This clearance holds immense importance for the startup specializing in brain implants, particularly as it navigates ongoing investigations in the United States regarding its approach to animal experiments.

Rats Exhibit Astonishing Imagination: Insights into Brain's Capacity for Mental Time Travel
Much like small, furry Yodas defying gravity to lift X-wings from swampy depths using the Force, rats have astounded researchers by displaying a remarkable ability to manipulate digital cubes through their imagination.

Unlocking Celestial Secrets: Synchronized Sub-Neptunes in a Galactic Ballet
In the vast expanse of our Milky Way galaxy, astronomers are captivated by a distinctive class of planets known as "sub-Neptunes." These celestial entities, with dimensions ranging from two to three times the diameter of Earth but smaller than Neptune, gracefully orbit stars, venturing closer than Mercury does to the sun in our solar system.

Extreme Heat Speeds Up Genetic Aging, Matching Smoking's Impact, Study Finds
A groundbreaking study reveals a concerning impact of extreme heat: it can accelerate genetic aging at a rate comparable to smoking.

Self-Fertilization Discovered in a Crocodile
A groundbreaking discovery has been made in Costa Rica, marking the first known incident of a crocodile self-fertilizing. The creature generated a fetus that shared a staggering 99.9% genetic match to its own DNA.

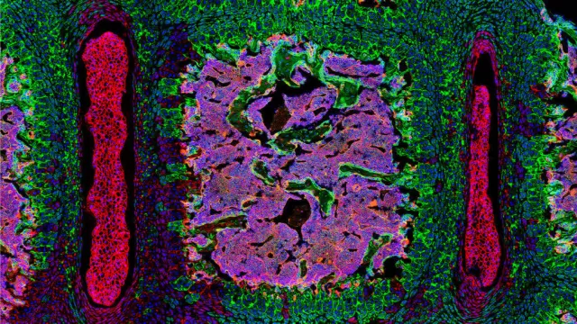
Breakthrough Discovery: Novel Stem Cells Attract Breast Cancer to the Spine
Breast cancer often metastasizes to the spine, and recent research may have unraveled the fundamental mechanism behind this phenomenon.

Imposter Participants Threaten Medical Research Integrity
Medical research is threatened by "imposter participants" providing false data. A recent analysis reveals widespread compromised data, impacting the reliability of studies and patient safety. Online recruitment, while beneficial, exacerbates the problem, demanding urgent action and balanced solutions.

Ferocious Foes: Neandertals Tamed Cave Lions Over 48,000 Years Ago
Around 48,000 years ago, Neandertals in Germany showcased their hunting prowess by effectively bringing down a cave lion using a wooden spear, according to recent research.

Astronomers Uncover Molten Super-Earth with Atmosphere
In the pursuit of rocky exoplanets outside our solar system capable of supporting life, astronomers have at last made a significant breakthrough.

Innovative Approach Offers Fish Relief from Warming Waters in Canadian River
Nova Scotia, Canada, became the backdrop for a groundbreaking experiment during the past summer, offering a unique solution to alleviate the impact of rising water temperatures on fish in the Wrights River.

Single Molecule Holds Key to Rejuvenating Aging Brains, Recent Research Reveals
Emerging research indicates that a solitary molecule could play a crucial role in revitalizing aging brains through diverse mechanisms.

Surprising Revelation: Mammalian Cells Found to Feed on Bacteria-Killing Viruses
The human body, from its respiratory system to its gastrointestinal tract, houses a diverse assortment of microorganisms. Among these microorganisms, bacteria-killing viruses play a crucial role. However, the precise nature of the interaction between these viruses and human cells has long remained a mystery.

Whale Endangerment Hampers US Seaweed Biofuel Research Efforts
In Cape Cod Bay, Pilgrim, a 10-year-old whale, and her calf glide near the Shearwater research vessel, feeding on tiny crustaceans. They are part of the remaining 340 North Atlantic right whales, a decline from 480 in 2010.

Chemists Successfully Convert Plastic Waste into Miniature Bars of Soap
A potential solution to tackle the issue of plastic waste is beginning to take shape.

Wild Male Palm Cockatoos: Masters of the Custom Drumsticks
A study published on September 13 in Proceedings of the Royal Society B illuminates the extraordinary creativity of wild palm cockatoos, scientifically known as Probosciger aterrimus. These avian marvels exhibit distinct preferences when crafting personalized instruments for their unique musical mating rituals.

Eugenia Cheng: Bridging the Gap Between Math Awe and Anxiety
Mathematics often elicits a mixture of awe and anxiety in people. On one hand, it's seen as an objective tool that can either support or challenge arguments, but on the other hand, it can be an intimidating subject. Eugenia Cheng, a scientist based at the School of the Art Institute of Chicago, has dedicated her career to alleviating these apprehensions.

Village Garbage Man Unearths Priceless Ancient Bronze Statues in Tuscany
This month, Italy presents one of its most extraordinary archaeological discoveries in decades: a collection of Etruscan and Roman statues, rescued from the mud in Tuscany, with credit partly due the retired garbage man's intuition.

Leaf Swabs Unlock Biodiversity Secrets in Uganda's Kibale National Park
In an astonishing revelation, just a handful of leaf swabs have unveiled a profound genetic portrait of Uganda's Kibale National Park's diverse wildlife. The findings, reported in Current Biology on August 21, stem from the collection of 24 leaf swabs from park plants, uncovering environmental DNA (eDNA) traces from 52 distinct animals.

Exoplanets: New Tools for Unraveling the Mysteries of Dark Matter
A new study proposes that exoplanets could be used to detect dark matter. Superheavy dark matter particles, drawn into exoplanet cores, might create planet-mass black holes, providing observational evidence of dark matter and challenging current black hole formation theories.

Researchers Uncover Impacts of Space Travel on Human Brain Functioning
The human body is not naturally adapted to cope with the harsh conditions of outer space, particularly microgravity, which can impact our physical wellbeing from top to bottom. The head, unsurprisingly, is of particular interest.

Unlocking the Genetic Enigma: Y Chromosome's Puzzle Fully Solved
In a groundbreaking endeavor aimed at unraveling the enigmas of the human Y chromosome, the genetic determinant of male sex, researchers have achieved a comprehensive end-to-end sequencing of this pivotal genetic element.

FAA Slaps SpaceX with Penalties for Breaching Launch License Regulations in 2023
The violations could result in fines totaling $633,009, according to the FAA's statement.

First-Time Detection: Gravitational Waves from Massive Black Holes Finally Audible
Astronomers using galaxy-spanning networks of neutron stars have captured gravitational waves believed to come from merging supermassive black hole duos, marking a significant milestone after two decades of pursuit.

Daylight Saving Time Debate: Health vs. Convenience
The debate over daylight saving time is heating up as research suggests it disrupts our internal clocks and harms our health. While ending clock-switching is gaining traction, the optimal solution – permanent standard time or permanent DST – remains contentious.

Gen Z Underrepresented in Medical Research: A Growing Concern
A new report reveals a critical gap in medical research: the underrepresentation of Gen Z. This lack of participation hinders the development of effective healthcare solutions tailored to their unique needs, raising concerns about misdiagnosis and ineffective treatments.